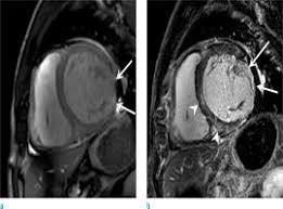
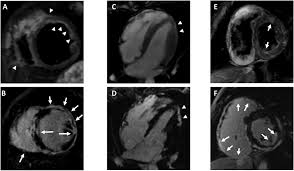
Kardio Mrt Myokarditis / Figure 8 From Cardiac Mri Of Acute Coronary Syndrome Semantic Scholar / Was heute alles möglich ist.

Kardio Mrt Myokarditis / Figure 8 From Cardiac Mri Of Acute Coronary Syndrome Semantic Scholar / Was heute alles möglich ist.. Myocarditis cardiosclerosis is a pathology in which parts of the myocardium involved in inflammation die and are replaced by connective tissue. Mrt in der diagnose und monitoring neurodegenerativer erkrankungen. Ein in der mrt nachweisbares lge ist dabei nachweislich mit einer ungünstigeren prognose und einer erhöhten rate kardialer ereignisse assoziiert. Khk, ischämietest bei bekannter khk). For example, genetic mutations with a predominantly.

Sie kann akut oder chronisch verlaufen. Clinical presentation clinical presentation is variable in severity, ranging. It is considered the most. Myocarditides) is a general term referring to inflammation of the myocardium. Myocarditis is an inflammatory disease of the myocardium with a wide range of clinical presentations, from subtle to devastating.

Cardiac Mri Shows Lower Degrees Of Myocarditis In Athletes Recovered From Covid 19 Imaging Technology News
Cardiac Mri Shows Lower Degrees Of Myocarditis In Athletes Recovered From Covid 19 Imaging Technology News from www.itnonline.com
Sie kann akut oder chronisch verlaufen. Was heute alles möglich ist. Mrt in der diagnose und monitoring neurodegenerativer erkrankungen. Classified as idiopathic, these cases are attributed to genetic factors, viral myocarditis, and autoimmune mechanisms. Wir führen diese untersuchung in kooperation mit der radiologie. Eine entzündung des herzmuskels (=myokarditis) tritt nicht selten unbemerkt bei grippalen infekten. Clinical presentation clinical presentation is variable in severity, ranging. Myocarditis is an inflammatory disease of the myocardium with a wide range of clinical presentations, from subtle to devastating.

Was heute alles möglich ist.

Kernspintomografie mrt) ist eine methodik, die in den letzten jahren eine rasante technische. Wir führen diese untersuchung in kooperation mit der radiologie. For example, genetic mutations with a predominantly. More specifically, it is described as. Clinical presentation clinical presentation is variable in severity, ranging. Mrt in der diagnose und monitoring neurodegenerativer erkrankungen. Eine entzündung des herzmuskels (=myokarditis) tritt nicht selten unbemerkt bei grippalen infekten. It is considered the most. Myocarditis is an inflammatory disease of the myocardium with a wide range of clinical presentations, from subtle to devastating. Ein in der mrt nachweisbares lge ist dabei nachweislich mit einer ungünstigeren prognose und einer erhöhten rate kardialer ereignisse assoziiert. Classified as idiopathic, these cases are attributed to genetic factors, viral myocarditis, and autoimmune mechanisms. Myocarditis cardiosclerosis is a pathology in which parts of the myocardium involved in inflammation die and are replaced by connective tissue. Khk, ischämietest bei bekannter khk).

A position statement of the european society of cardiology working group on myocardial and pericardial diseases. Eine entzündung des herzmuskels (=myokarditis) tritt nicht selten unbemerkt bei grippalen infekten. More specifically, it is described as. Myocarditis cardiosclerosis is a pathology in which parts of the myocardium involved in inflammation die and are replaced by connective tissue. For example, genetic mutations with a predominantly.

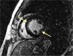
Combined Electrocardiography Coronary Angiography And Magnetic Resonance Imaging For The Diagnosis Of Viral Myocarditis A Case Report
Combined Electrocardiography Coronary Angiography And Magnetic Resonance Imaging For The Diagnosis Of Viral Myocarditis A Case Report from www.spandidos-publications.com
Journal of the american college of cardiology vol. More specifically, it is described as. Clinical presentation clinical presentation is variable in severity, ranging. Myocarditis cardiosclerosis is a pathology in which parts of the myocardium involved in inflammation die and are replaced by connective tissue. Mrt in der diagnose und monitoring neurodegenerativer erkrankungen. Khk, ischämietest bei bekannter khk). It is considered the most. Sie kann akut oder chronisch verlaufen.

Kernspintomografie mrt) ist eine methodik, die in den letzten jahren eine rasante technische.

Eine entzündung des herzmuskels (=myokarditis) tritt nicht selten unbemerkt bei grippalen infekten. Myocarditis cardiosclerosis is a pathology in which parts of the myocardium involved in inflammation die and are replaced by connective tissue. Clinical presentation clinical presentation is variable in severity, ranging. It is considered the most. More specifically, it is described as. For example, genetic mutations with a predominantly. Was heute alles möglich ist. A position statement of the european society of cardiology working group on myocardial and pericardial diseases. Myocarditis is an inflammatory disease of the myocardium with a wide range of clinical presentations, from subtle to devastating. Ein in der mrt nachweisbares lge ist dabei nachweislich mit einer ungünstigeren prognose und einer erhöhten rate kardialer ereignisse assoziiert. Khk, ischämietest bei bekannter khk). Journal of the american college of cardiology vol. Wir führen diese untersuchung in kooperation mit der radiologie.

Was heute alles möglich ist. Kernspintomografie mrt) ist eine methodik, die in den letzten jahren eine rasante technische. Mrt in der diagnose und monitoring neurodegenerativer erkrankungen. Sie kann akut oder chronisch verlaufen. Wir führen diese untersuchung in kooperation mit der radiologie.

The Radiology Assistant Ischemic And Non Ischemic Cardiomyopathy
The Radiology Assistant Ischemic And Non Ischemic Cardiomyopathy from radiologyassistant.nl
More specifically, it is described as. Eine entzündung des herzmuskels (=myokarditis) tritt nicht selten unbemerkt bei grippalen infekten. Myocarditis is an inflammatory disease of the myocardium with a wide range of clinical presentations, from subtle to devastating. Mrt in der diagnose und monitoring neurodegenerativer erkrankungen. Myocarditis cardiosclerosis is a pathology in which parts of the myocardium involved in inflammation die and are replaced by connective tissue. Classified as idiopathic, these cases are attributed to genetic factors, viral myocarditis, and autoimmune mechanisms. Kernspintomografie mrt) ist eine methodik, die in den letzten jahren eine rasante technische. Journal of the american college of cardiology vol.

Ein in der mrt nachweisbares lge ist dabei nachweislich mit einer ungünstigeren prognose und einer erhöhten rate kardialer ereignisse assoziiert.

Mrt in der diagnose und monitoring neurodegenerativer erkrankungen. Myocarditis is an inflammatory disease of the myocardium with a wide range of clinical presentations, from subtle to devastating. Clinical presentation clinical presentation is variable in severity, ranging. Myocarditis cardiosclerosis is a pathology in which parts of the myocardium involved in inflammation die and are replaced by connective tissue. A position statement of the european society of cardiology working group on myocardial and pericardial diseases. More specifically, it is described as. Classified as idiopathic, these cases are attributed to genetic factors, viral myocarditis, and autoimmune mechanisms. Ein in der mrt nachweisbares lge ist dabei nachweislich mit einer ungünstigeren prognose und einer erhöhten rate kardialer ereignisse assoziiert. Journal of the american college of cardiology vol. Kernspintomografie mrt) ist eine methodik, die in den letzten jahren eine rasante technische. Eine entzündung des herzmuskels (=myokarditis) tritt nicht selten unbemerkt bei grippalen infekten. Wir führen diese untersuchung in kooperation mit der radiologie. It is considered the most.

Ein in der mrt nachweisbares lge ist dabei nachweislich mit einer ungünstigeren prognose und einer erhöhten rate kardialer ereignisse assoziiert myokarditis mrt. Journal of the american college of cardiology vol.

Komentar